Roche-PHOSS-RO Sigma-Aldrich PhosSTOP™ 别名: 磷酸酶抑制剂片剂
-

PhosSTOP

Western blot of an insect cell lysate .
Lanes 1 – 3: incubation without PhosSTOP Inhibitor for 0, 3, and 24 hours at +15°C to +25°C. Lanes 4 – 6: incubation with PhosSTOP for 0, 3, and 24 hours at +15 °C to +25 °C.Development of western blot: blocking with 1x solution of Western Blocking Reagent in TBST, incubation with Anti-phosphoserine/threonine antibody in blocking solution. Incubation with secondary antibody (Anti Mouse-Ig) in blocking solution. Detection using LumiLightPLUS Western Blotting Substrate.

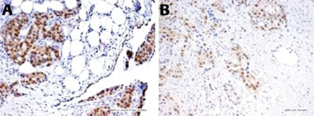
Detection of p44/42 MAP Kinase (pERK) on human ovarian cancer tissue.
After fixation for 24 hours in PBS containing 4% formalin (A) with 1x PhosSTOP or (B) without PhosSTOP. Tissue sections were stained with anti-pERK p44/42 MAPK (pERK) antibody (Cell Signaling Technology) and detected using EnVision+ System/HRP, Mouse (DAB+).
一般描述
PhosSTOP片剂是一种被配制成即用型片剂并可快速溶解于水相溶液(缓冲液)中,包括含有福尔马林的缓冲液(用于福尔马林固定)的磷酸酶抑制剂混合物。
特异性
保护蛋白免受去磷酸化。抑制多种类型的磷酸酶,如酸性和碱性磷酸酶、丝氨酸/苏氨酸(PP1、PP2A和PP2B),以及细菌、昆虫、哺乳动物、酵母和植物提取物中的酪氨酸蛋白磷酸酶(PTP)。
应用
PhosSTOP™已用作以下组分
- 用于裂解冷冻小鼠组织,从而获得蛋白质上清液的裂解液
- 骨衍生巨噬细胞裂解液
- 用于细胞裂解和免疫沉淀的核提取缓冲液
PhosSTOP™可保护蛋白质提取物免受去磷酸化。这些片剂可抑制广谱的磷酸酶,如酸性和碱性磷酸酶、丝氨酸/苏氨酸(PP1、PP2A和PP2B)双特异性磷酸酶,以及细菌、昆虫、哺乳动物、酵母和植物提取物中的酪氨酸蛋白磷酸酶(PTP)。PhosSTOP片剂可很好的适合于磷酸化蛋白的纯化和检测。它们还用于防止福尔马林固定石蜡包埋(FFPE)组织切片中的去磷酸化。
PhosSTOP片剂可与cOmplete蛋白酶抑制剂混合物片剂一起结合使用,以同时保护蛋白免受去磷酸化和蛋白水解降解。当两种抑制剂片剂被同时使用时均可保持其活性。
PhosSTOP抑制剂对于蛋白检测的影响已被评估。这种抑制被证明对于BCA或Bradford蛋白检测几乎没有影响。特点和优势
采用无毒的PhosSTOP磷酸酶抑制剂混合物片剂对各种样本材料(如哺乳动物、植物、酵母和细菌)的广谱磷酸酶实现即时、有效和便捷的抑制。PhosSTOP是一种被配制成即用型、可快速溶解的水溶性片剂的磷酸酶抑制剂混合物。
- 全面的保护:抑制酸性及碱性磷酸酶,以及丝氨酸/苏氨酸(PP1、PP2A和PP2B)和酪氨酸蛋白磷酸酶。
- 安全:在水相溶液中溶解无毒性的PhosSTOP片剂,避免了有机溶剂(如DMSO)
- 适用于福尔马林固定:维持组织切片中蛋白的磷酸化状态。
- 便捷:免去了寻找合适的磷酸酶抑制剂的耗时步骤。
- 易用:只需将速溶片加入到您的缓冲液中即可。
- 稳定:可将储备溶液储存在+2至+8°C一个月,或在-15至-25°C至少6个月。
如需全覆盖的蛋白保护,可将PhosSTOP与cOmplete或cOmplete ULTRA蛋白酶抑制剂片剂结合使用以抑制磷酸酶和蛋白酶。属性
形式 tablet 包装 pkg of 10 tablets (04906845001)
pkg of 20 tablets (04906837001)manufacturer/tradename
Roche 溶解性 aqueous buffer: soluble 运输 wet ice 储存温度 2-8°C 制备说明
工作浓度:每10 ml细胞提取液或缓冲液中加入1片
工作溶液:建议将溶剂加入在蒸馏水或水相缓冲液(包括含有福尔马林的缓冲液)中。
每10 ml水相溶液溶解一片。或者,在1 ml蒸馏水或100mM磷酸盐缓冲液(pH7.0)中制备10×储备溶液。还可制备更高浓度(如20x)的储备溶液。
储存条件(工作溶液):2至8 °C其他说明
仅用于生命科学研究。不可用于诊断。
法律信息
PhosSTOP is a trademark of Roche
